搜索
楼主: 凡人

牛津科学家:新冠噩梦已成历史 我们可以放心

[复制链接]
 楼主| 发表于 2021-12-6 07:44:13 | 显示全部楼层

多国首次报告奥密克戎毒株感染病例

  新华社北京12月5日电 综合新华社驻外记者报道:3日至4日,赞比亚、罗马尼亚、智利和墨西哥分别宣布境内首次发现变异新冠病毒奥密克戎毒株感染病例。为阻止这一毒株蔓延,智利陆路口岸暂缓开放。

  赞比亚卫生部长西尔维娅·马塞博4日在卢萨卡宣布,该国首次在境内发现奥密克戎毒株。对近期新冠确诊患者取样的基因组测序表明,有3人感染奥密克戎毒株,其中2名男性有国际旅行史,1名女性没有国际旅行史。

  罗马尼亚卫生部4日宣布确诊两例奥密克戎毒株感染病例。这两人均为无症状感染者,于11月30日搭乘包机从南非返回罗首都布加勒斯特,抵达后已居家隔离。罗总理丘克4日宣布,将于5日召集政府工作会议,就如何阻止奥密克戎毒株在罗蔓延展开讨论。

  智利瓦尔帕莱索大区卫生局4日发布的公告显示,该国发现的首个感染奥密克戎毒株的患者11月25日从西非国家加纳进入智利,目前状态良好,正处于隔离中。为阻止奥密克戎毒株蔓延,智利卫生部11月29日宣布,陆路口岸暂缓开放,自12月1日起,禁止14天内到访过南非、津巴布韦、纳米比亚等非洲7国的外国人入境。

  墨西哥卫生部3日发布公告说,该国发现首例奥密克戎毒株感染病例。这名患者年龄51岁,11月21日从南非返回墨西哥,目前正在首都墨西哥城一家医院接受治疗。墨卫生部副部长洛佩斯-加特利当天在社交媒体上说,这名患者症状较轻,康复情况较为乐观。墨西哥自11月26日起对入境旅客展开健康监测。
回复

使用道具 举报

 楼主| 发表于 2021-12-6 07:45:13 | 显示全部楼层

密克戎背后新冠演化走向何方

  在孙亚民的笔记本电脑里,保存着不同时期新冠变异株的数据图。曲线大多呈现倒U字形,随着时间推移爬坡、登顶,随即下降、接近消失,每一根线条,都对应着新冠变异株在人类社会登场与隐退的极简史。新冠“迭代”的速度,比电子产品还快。阿尔法刚成为主流流行株不久,德尔塔便来势汹汹;德尔塔还带着“新秀”的气息,奥密克戎已在几日内成为焦点。它变异之大、“升级”之快,所有前辈都不能相比。但奥密克戎也没什么特殊。两年时间中,新冠的变异如同树木不断抽枝散叶,不时有新成员家族壮大,也有老成员式微凋亡。奥密克戎不是第一个,大概率,也不会是最后一个。

  “不同寻常”的奥密克戎

  11月26日晚,南开大学公共卫生与健康研究院教授孙亚民工作室的电脑开始通宵加班运作,逐一读取总数达500多万份的基因组数据。

  ATTAAAGGTTTATACC……这些fasta格式的独立文件,写满了象征四种碱基的字母,每一份,都是一粒曾在人类世界短暂露面的新冠病毒的生命密码。有的完全一样,有的不尽相同,它们来自全球各地的人类实验室,从疫情初始到当下,汇聚成一个庞大的新冠病毒数据池。

  再次将触角沉入这个“池子”,是为了探究其中131株变异体。此后世界卫生组织将其命名为奥密克戎(Omicron)——目前所划分的最重要的新冠变异株类型。

  在此之前,新冠所演化出的诸多变异株中,被例入VOC的只有四种。阿尔法(Alpha)、贝塔(Beta)、伽马(Gamma)、德尔塔(Delta)。从首份样本上传到世卫组织命名、评级,这个过程一般要经过数月的时间,往往伴随着人类世界明显的疫情流行。奥密克戎是一个例外,从数据上传到命名在半个月左右时间完成,从被世卫组织列入VUM(Variants Under Monitoring 监测中的变异株)到跳过VOI(Variants of Interest 需留意的变异株)“直升”VOC,只用了2天。

  不过,对孙亚民来说,新冠变异不是什么新鲜事。在世界流行两年,新冠病毒发生的变异数量,在近3万的核苷酸总数中,只是微不足道的比例。次日,计算机跑完了所有基因组数据,看到报告,孙亚民才真正感到一丝惊讶。

  在500多万份历史数据的横向对比中,奥密克戎的确不同寻常:变异位点多,位置关键。根据计算,新冠病毒传播至今,只逐渐积累了约35个可遗传的非同义突变(可导致氨基酸改变,一般认为非同义突变受自然选择作用),而奥密克戎在此基础上,一口气多出了约15个突变;30多处位于最受关注的新冠体表的刺突蛋白上,其中一半位于RBD区,能直接影响病毒的复制与传播;10多个位于ORF1ab区域,可能影响到人体免疫。

  奥密克戎还显得身世成谜。

  病毒从亲代繁衍到子代,会在基因层面留下痕迹,科学家根据这些痕迹顺藤摸瓜,可以捋清病毒变异的“家谱”。奥密克戎最早发现于南非,在最近三个月,南非分离到的变异株多为德尔塔,孙亚民原本觉得,奥密克戎应当是由德尔塔变异而来,但数据显示,奥密克戎与德尔塔并没有很近的亲缘关系。即便在整个数据池中,奥密克戎突然发生的新变异,也找不到循序渐进的演进历史。

  当我们讨论变异 我们究竟在讨论什么?

  当孙亚民尝试描绘整个新冠的变异史,那是一种不断分叉的过程,有点像树木生长——从一个主干逐渐分出越来越多的枝丫。但也不完全是:一部分枝叶迅速茂盛的同时,另一部分生长缓慢,或很快凋零。

  “最初的病毒,如果出现几百种变体,其中一些具有优势的变体,在传播一段时间后,会演化出几百种变体。病毒流行的每个时期,都会有优势群体出现,但并非所有变体都会留存下来,它们大部分会被淘汰,曾经的优势株,也可能被后起之秀取代。”孙亚民说。

  正如孙亚民所说,新冠的“进化树”已经以这种奇妙的方式生长了近两年。

  新冠首次发生关键变异D614G是在2020年1月底2月初。位于刺突蛋白的这个变异位点,让病毒更易附着于人体细胞,增强了变体的传染性。之后,从欧洲到北美洲、大洋洲、南美洲……经过4个月传播,这个变体取代了之前的新冠病毒,成为主要流行的强势变异株。

  到了2020年9月,一种新的新冠变异株在英国出现,两个月后,科学家们开始在新增感染者身上反复分离出这一变体。12月18日,世卫组织将其命名为阿尔法。此后,又接连出现了贝塔(Beta)、伽马(Gamma)、德尔塔(Delta)以及奥密克戎(Omicron)。

  我们固然能用单个的毒株来讲述新冠病毒的变异故事。这些在人类世界掀起风浪的小小颗粒,总是显得面目不清、行踪诡异又来势汹汹,让人神经绷紧。但在自然界,病毒变异就如人类的呼吸、进食一般,是极其普通的自然现象。

  “你可以想象一下,你要用最快速度不断手抄30000个不同的字母,这时你就会发现,誊抄的过程中会出现许多的错误。不断地重写,也就会不断地出错,这就是新冠病毒变异的原理。”英国布里斯托尔大学病毒学教授大卫·马修斯说。

  作为最大最复杂的RNA病毒,冠状病毒可拥有长达32000个核苷酸组成的基因组,新冠的核苷酸将近30000个。世卫组织对新冠的评估分类中,将评估对象定义为“变异株”(Variant),事实上,只要一个核苷酸发生变异,就形成一个新的变异株(Variant)。

  北京地坛医院传染病专家蒋荣猛解释,新冠病毒是极其简单的生物体,外层的蛋白包括着内部的遗传物质,依靠宿主细胞进行复制繁殖。相比DNA病毒具有复杂、紧密、稳定结构的双螺旋结构基因组,新冠的基因组为单链RNA,非常简单,在复制过程中也更容易出错。除了先天特点导致的自发变异,外部环境带来的压力,如温度气候的变化、宿主的免疫、药物的攻击等等,也会让病毒不得不通过变异来适应环境。病毒变异永远处于进行时态,即便在同一名患者体内,不同时间段分离出的病毒样本,也可能有着不同的基因组。

  新冠如此,其他的病毒亦然,甚至会有更加成熟和庞大的“家谱”。

  蒋荣猛以流感病毒举例:根据核蛋白的差异,流感病毒可分为甲乙丙丁四个基因型(genotype),其中较常在人类社会流行的是甲流与乙流,研究也多聚焦于此;基因型之下,甲流依据病毒表面的血凝素HA和神经氨酸酶NA两种蛋白的不同,还可分出不同的亚型(subtype),这就是经常被提及的H1N1、H3N2等叫法的由来;乙流不做亚型分型,但可分为不同的谱系(Lineage),如Yamagata、Victoria等等。流感变异的速度远甚新冠,每年流行的变异株也不尽相同,每年秋冬季,疾控部门呼吁市民接种的流感疫苗,其中的成分也都要根据专家的最新预判进行调整。

  若和流感相比,新冠的变异程度,似乎远不及前者。

  “如果按照常规基因型分类,即便是(在刺突蛋白上)拥有30多个突变位点的奥密克戎,和现有变异株仍属于同一个基因型、或者说亚型,没有分化为独立基因型。”德国杜伊斯堡-埃森大学病毒研究所教授陆蒙吉说。马修斯也表示,虽然对奥密克戎还有待了解,但他并不认为新冠病毒现阶段已经发生了重大突变。

  即便在基因组层面,病毒还可以发生更大程度的变异,变异仍是一门“玄学”。

  孙亚民介绍,大部分变异并没有意义。基因虽然变了,但不一定影响氨基酸、不能带来更高层面的病毒结构改变,而结构变化是病毒“能力”变化的基础,这也是为何新冠刺突蛋白RBD区域的变异最受重视的原因——它的形状能直接影响病毒的“钥匙”与人体受体这个“锁眼”的吻合度。

  剩下一部分有意义的变异,则向着两个方向分化,有的让病毒获得更多的生存优势,有的让病毒更易“早夭”。权威医学期刊《柳叶刀》曾发表一篇来自新加坡研究团队的文章,其中介绍了疫情早期出现的一类缺失382个核苷酸的新冠变异株,这种变异株很快消失了。

  当我们讨论病毒变异,实际上只是在追问后者:变异发生了,然后呢,人类将受到多大伤害?遗憾的是,即便科学家们能在实验室里读取变异株最核心的遗传密码、破解病毒的形状结构、分析变异位点的影响、开展一系列科学实验……实验室仍与真实社会相差太远,实验室里得出的结果,并不一定会发生在现实世界。

  或许正因如此,即便奥密克戎已被我们从基因层面看了个底朝天,多位专家在谈论它时仍表示,目前还不够了解,有待进一步监测观察。

  如果微观结果难以预测,那么从宏观展望,新冠的演化会不会走向既定的方向?

  新冠的演化 会走向既定终点吗?

  “病毒的突变是随机的,总的进化方向是往增强传播力的方向发展,所以我们会不断看到有更强传播力的新变种出现。”陆蒙吉说。

  从D614G突变到阿尔法、德尔塔,新的变异株的确呈现出更快的传播力。《华盛顿邮报》指出,德尔塔变种的传染性比阿尔法变种高55%至60%,几乎是原始新冠病毒的两倍。

  而在传播加快的同时,毒力是会更高还是更低,则是一个更复杂的问题。

  “病毒变异其实并不是为了让人类生病,只是为了自身的成功生存。但这也有多种可能。”马修斯说,病毒可能通过让人类生病甚至死亡来实现传播,也可能变得毒力越来越轻微,让宿主无法意识到感染的发生,从而实现人群传播。

  那么,从现有的变异株来看,感染者的病情有在变轻吗?

  “现在还没有一个系统的临床研究,将不同(变异株感染)的病人放在一起,合理分组进行比较。数据太少,不确定性太多,很难说。”陆蒙吉表示。

  美国加利福尼亚大学圣迭戈分校医学院传染病与全球公共卫生系主任戴维·史密斯(Davey Smith)提到,虽然在不伤害宿主的情况下,病毒存活的可能性更大,类似变化在其他病毒身上也的确发生过,但这通常需要花费成百上千年的时间。

  “南非虽然有报告表示,感染奥密克戎的患者症状更轻微,但可能是因为检测方式的问题。对于仅仅流行了两年的新冠病毒,我很怀疑奥密克戎或其他变体真的让症状变得更轻了。”史密斯称。

  当然,症状的轻重不完全取决于病毒变异,也取决于人类预存免疫和个体特性。马修斯说,从乐观角度分析,目前孩子和年轻人感染新冠后症状并不重,康复之后,他们获得了相应免疫力,即便新冠仍在变异,在免疫系统的保护下,人类出现的症状也会变得轻微,医疗体系面临的压力会越来越小。

  史密斯的预判则更加谨慎。

  “当人们老去,人体会出现其他健康问题,譬如癌症、类风湿性关节炎等,这些都会削弱人体免疫系统的能力,如果他们暴露在病毒之中,免疫系统或许不足以与之抗衡。”除了科学家身份,史密斯还是一名传染病医生,他希望今后不再有因新冠导致的发病和死亡,“但更可能地说,我的职业生涯中会一直接诊新冠病人……而随着变异发生,新病毒还可能进一步逃避免疫应答,甚至降低现有治疗手段的效果。”

  在接受采访时,多位专家都表示,变异会继续,新冠也很难从人类社会彻底消失。

  “新冠的变异会一直持续,现在是奥密克戎,未来还会有其他变种。”马修斯说,一种可能性是,新冠将留下几个主要的变种,在全球各地轮番主导疫情。譬如北欧地区今年流行德尔塔,次年流行奥密克戎,两三年后换回德尔塔,在不同的国家和地区,则流行不同的变种。随着时间推移,这些变种还会不断变化。

  孙亚民则表示,随着传播扩大,病毒变异可能会越来越快。

  “新变异株产生的频率不是既定的。”孙亚民说,病毒传得越快,感染的人越多,病毒发生变异的可能性就越大,当新变异株有了更强的传播力,传染给了更多的人,又会加速新的变异株的诞生。当人类社会不采取必要的限制措施,这个加速过程,会继续加速。

  此外,奥密克戎的突变或许还提示了另外的隐患。不少专家分析,奥密克戎所携带的突兀的变异,除了可能发生在免疫缺陷人群体内,还可能发生在自然宿主体内。在逐个分析奥密克戎的变异位点时,孙亚民团队发现,其中两个突变可能增加病毒宿主的广谱性,换言之,这种变异能令新冠感染更多的动物。

  “原始的自然宿主是不太容易将病毒传染给人类的。新的自然宿主是从人类中得到新冠,它们很可能与人类社会离得很近,比如说老鼠。如果新冠能在新的自然宿主中广泛传播,就能在自然界长期存在,不断变异;而这个离人类很近的宿主群体,又能不断将新的新冠变异株带回人类社会。这是一个比较糟的情况。”孙亚民说,不过,这些目前只是推测,有待进一步的研究论证。

  无论如何,人类虽无法预测和叫停病毒变异,也并非束手无策。

  史密斯指出,接种疫苗是有效的方式。当更多人对于病毒产生免疫,就能降低新变种出现的几率。

  陆蒙吉表示,在积极接种的同时,可以讨论是否有必要针对变异株生产新疫苗。此外,佩戴口罩、保持社交距离等传统简单的手段,也能起到有效的保护效果。

  蒋荣猛则提到,面对病毒不断变异,科学监测很有必要,但也大可不必惊慌。“就以传播力来说,我们常常用R0来描述病毒的传播力,其实R0也并非绝对,会受很多因素影响。即便变异株在自然状态下传播力增强,在有效的防控手段下,我们仍然可以实现动态清零。”

  新京报记者 戴轩 栾若曦
回复

使用道具 举报

 楼主| 发表于 2021-12-6 14:20:12 | 显示全部楼层

Omicron确诊逾20例 佛奇:美国已进入社区感染

美国本土至今全美有12个州共20人以上确诊COVID-19病毒变异株Omicron病例,白宫防疫专家佛奇表示,Omicron变异株已进入社区感染。(美联社)

美国本土陆续出现COVID-19病毒变异株Omicron病例,至今全美有12个州共20人以上确诊;白宫防疫专家佛奇表示,Omicron变异株已进入社区感染,病例将一天一天增多。

财经媒体CNBC网站报导,美国犹他、麻萨诸塞、加利福尼亚、明尼苏达、科罗拉多、夏威夷、内布拉斯加、宾夕法尼亚、马里兰、密苏里、纽约、新泽西等州都出现COVID-19(2019冠状病毒疾病)Omicron变异株病例。

出现在美国的Omicron病例中,年龄、疫苗注射情形与旅游史各不同,不过目前为止都属轻症,尚未发现重症。部分Omicron确诊者最近曾到南非旅行,但也有确诊者没有相关旅游史,显示Omicron变异株已进入社区感染。

南加州的洛杉矶郡卫生机关2日宣布洛杉矶郡第一例Omicron确诊。这名成年患者已完整接种疫苗,11月22日自南非返回美国,目前在家自主隔离。洛郡暂时没有进一步升级防疫措施的计画。

白宫首席防疫专家佛奇(Anthony Fauci)3日在彭博(Bloomberg)电视台的连线访谈中表示,Omicron变异株无疑已在美国进入社区感染,病例数只会越来越多。

佛奇说,他正密切关注南非Omicron病例的发展,特别是这个新变种病毒在已接种疫苗的人身上具有何等传播能力。

科学家与卫生机关仍在蒐集资料,瞭解Omicron变异株在已接种疫苗者身上的传播力,或形成重症的机率。CNBC报导,目前在美国出现的Omicron确诊患者都是轻度到中度症状,尚无重症住院的情况。

佛奇3日在白宫简报时持续鼓励民众注射疫苗,他说研究证据显示,施打疫苗追加剂有助于提升抗体,对抗多种COVID-19病毒变异株,「我们有充分的理由相信,接种完整疫苗并施打追加剂,都能获得一定程度的保护」。
回复

使用道具 举报

 楼主| 发表于 2021-12-6 14:21:22 | 显示全部楼层

美国已有16个州出现奥密克戎病例 当局拟简化疫苗审批流程

  中新网12月6日电 综合报道,当地时间4日晚,美国康涅狄格州发现了当地首例感染新冠病毒奥密克戎毒株病例。美疾控中心(CDC)的最新数据显示,美国已有16个州出现了奥密克戎感染病例。

  为应对新变种蔓延,CDC主任称,目前正讨论简化疫苗审批流程。

美国已有16个州出现新冠病毒奥密克戎毒株感染病例

美国已有16个州出现新冠病毒奥密克戎毒株感染病例

截至北京时间12月6日8时,美国已有16个州出现新冠病毒奥密克戎毒株感染病例。图片来源:美国疾控中心(CDC)官网截图

  康涅狄格州现奥密克戎感染者

  新变种已蔓延至全美16州

  据美国中文网报道,当地时间4日晚,康州州长拉蒙特证实,该州发现了首例奥密克戎变种感染病例,患者是一名已完全接种过疫苗的男子。这也标志着美东北地区的纽新康(纽约、新泽西和康涅狄格)三州都已发现了新变种。

  报道称,该男子于当地时间11月27日出现轻微症状。拉蒙特说,两天后,他在家进行了检测,结果呈阳性,12月1日的一项检测也呈阳性。

  州长办公室表示,该男子的一名家庭成员于11月17日至11月22日曾前往纽约,参加了在贾维茨中心举行的2021年纽约动漫展。这名家庭成员随后出现了症状,并于11月23日在家进行了检测,结果呈阳性。官员们说,他们的症状已经得到了缓解。

  据拉蒙特说,这名男子和检测出阳性的家庭成员都已经完全接种了疫苗。

  对此,拉蒙特表示,“这很可能不是我们州唯一的变种病例”,呼吁民众采取必要措施保护自己和周围的人。此外,康州公共卫生部门也在敦促居民接种疫苗,注射加强针的诊所也已在全州开放。

  另据CDC官网的数据,截至目前,美国已有16个州出现了奥密克戎毒株感染病例。

  多家药企紧急研发奥密克戎加强剂

  美疾控主任:正简化审批流程

  奥密克戎变种来势汹汹,美国多家药企正在开展针对奥密克戎疫苗加强针的研发工作。

  根据流程,美国药企生产出疫苗后,必须得到美食品和药品管理局(FDA)的批准才能上市。

  当地时间5日,在被问及审批流程是否能更快推进时,美疾控中心(CDC)主任瓦伦斯基表示,FDA正在讨论简化对奥密克戎加强针疫苗的审批流程。

  据报道,FDA考虑将允许制药公司缩减疫苗研究的规模,仅使用数百人的数据即可提交申请,而在此前的疫苗研究中,通常都需要数千人的数据作为依据。

  拜登政府为非洲旅行限制辩护

  称只是“临时措施”

  随着美国出现越来越多的奥密克戎毒株感染者,当局针对非洲南部8个国家的禁令持续遭受质疑。

  当地时间5日,拜登政府的医疗总监在接受美国媒体采访时,被问及拜登政府为什么决定在旅行限制中单独针对少数几个南部非洲国家,并指出南非科学家称此举是歧视性的。

  对此,穆尔蒂这一限制进行了辩护,他表示,旅行限制有助于“降低安全风险”,并能帮助CDC尽快为更多的人接种疫苗。不过,他同时指出,这些措施只是“临时措施”。

  对于这一问题,白宫医疗顾问福奇当天也表示,随着奥密克戎变种在越来越多的州被发现,拜登政府“希望”能够在“合理的时间内”解除对非洲国家的旅行禁令。
回复

使用道具 举报

发表于 2021-12-6 14:21:50 | 显示全部楼层

福奇:奥密克戎严重性的初步反馈报告有点令人鼓舞

福奇星期天接受CNN访问时表示,虽然现在就下定论还言之过早,但至少到目前为止,奥密克戎变种毒株看起来并没有导致非常严重的病情。(彭博社)

美国首席传染病专家福奇说,关于奥密克戎变种毒株严重性的初步反馈报告“有点令人鼓舞”,但他强调还需要获得更多这方面的信息。

福奇星期天(5日)接受美国有线电视新闻网(CNN)访问时表示,“虽然现在就下定论还言之过早,但至少到目前为止,它看起来并没有导致非常严重的病情。”

谈到率先报告奥密克戎病例的南非,福奇指这个变种毒株在南非“具有传播优势”。

他说,南非的新增病例原本维持低水平,出现奥密克戎病例后病例数直线飙升,而且几乎全部都是奥密克戎病例。

另一方面,疫苗生产商莫德纳公司总裁霍格接受美国广播公司(ABC)访问时表示,奥密克戎导致现有冠病疫苗有效性下降的真实风险是存在的。

霍格说:“我不知道这风险多大。它会不会像德尔塔变种毒株那样,即疫苗最终还是对它维持有效,还是会导致疫苗的有效性下降比如50%,如果是这样,就表示我们需要再提升疫苗的效力。”

美国卫生官员12月5日表示,奥密克戎变种毒株已蔓延至美国约三分之一的州属,但德尔塔变种毒株仍然是美国主要的传播毒株。

联合早报
回复

使用道具 举报

 楼主| 发表于 2021-12-6 14:22:19 | 显示全部楼层

南非Omicron疫情爆超不寻常趋势 专家:前所未见

KIDS HOSPITALIZATIONS—The “highly transmissible” #Omicron variant is putting disproportionately large numbers of children under the age of 5 years old in hospitals, a top South African government medical adviser said Friday. #COVID19 https://t.co/ZdYaN19oFr pic.twitter.com/8aaleyNnUf

— Eric Feigl-Ding (@DrEricDing) December 3, 2021

南非专家警告,新冠变异株Omicron在南非各地造成大量5岁以下幼童住院,形容这种情况”前所未见”。

综合美媒《每日野兽》(The Daily Beast)、美国哥伦比亚广播公司新闻网(CBS News)报导,南非政府首席医疗顾问贾萨特(Waasila Jassat)3日警告,当地疫情中心豪登省(Gauteng)每周新增的确诊人数及住院人数都比之前都高,”各年龄层的住院人数急遽增加,尤其是5岁以下。”

她说5岁以下幼童的住院人数仅次于60岁以上的年龄组别,她说儿童通常不会受到新冠疫情严重影响,住院人数也不多。

贾萨特也以南非首都茨瓦尼(Tshwane)大都会地区为例,5月第3波疫情前2周,当地送医治疗的5岁以下儿童人数不到20人,如今第4波疫情前2周,已经有超过100名儿童送医。

关于为何5岁以下儿童住院人数暴增?贾萨特推测可能和儿童未打疫苗有关,她说,随着成人疫苗施打率逐步上升,儿童逐渐成为染疫、必须送医的族群。

另外她也引述茨瓦尼当地医师的说法,指出医院里12至18岁的未成年患者全数未打疫苗,这个族群实际上符合疫苗接种资格。12岁以下未成年不符合接种资格,这个族群的患者中,除了3人外,其余患者的父母皆未施打疫苗。

贾萨特说这个现象显示成人接种疫苗才能保护家中幼童的重要性。

中时新闻网
回复

使用道具 举报

 楼主| 发表于 2021-12-6 16:22:56 | 显示全部楼层

法国累计确诊病例逾791万 已确诊25例奥密克戎感染病例

  中新社巴黎12月6日电 (记者 李洋)当地时间5日,法国新冠肺炎累计确诊病例超过791万例。法国现已确诊25例新冠病毒变异株奥密克戎毒株感染病例。

  根据法国官方数据,法国5日单日新增确诊病例42252例,累计确诊病例超过791万例,为7917264例。法国累计死亡病例现为119535例,新增死亡病例29例。法国新冠住院患者人数现为11526人;重症患者人数为2066人。

  全法多项疫情指标仍在恶化,5日的数据显示,该国新冠发病率还在继续上升,现已升至每10万居民中有超过400名感染者。这是自去年11月第二波疫情以来再度出现如此高的发病率。

  法国卫生总署当晚表示,已确诊25例奥密克戎毒株感染病例,5日单日新增9例奥密克戎毒株感染病例。25名奥密克戎毒株感染患者的确诊地分别在巴黎大区、大东部大区、卢瓦尔河地区大区、普罗旺斯-阿尔卑斯-蓝岸大区、奥弗涅-罗讷-阿尔卑斯大区等多地。

  法国卫生部门正在密切监测名为B.1.640的新冠病毒变异株,自该毒株于10月在法国发现以来,现已报告约50例确诊病例。法国防疫专家认为该变异株具有特殊的突变特征,需要进一步评估和研究。

  法国经济与财政部长勒梅尔5日表示,政府将按照实际情况“逐一研究”第五波疫情对餐饮业等相关行业的影响,并将考虑发放相应援助。

  法国官方数据称,法国目前已有5209万人接种至少一剂疫苗,约占法国人口的77.3%;已有5100万人完成两剂接种,约占法国人口的75.7%;已有1026万人接种第三剂疫苗。(完)
回复

使用道具 举报

 楼主| 发表于 2021-12-8 10:01:14 | 显示全部楼层

中国新增74例!英国奥密克戎感染者每天或达千例

据国家卫健委官网12月8日消息,12月7日0—24时,31个省(自治区、直辖市)和新疆生产建设兵团报告新增确诊病例74例。其中境外输入病例30例(上海8例,广西8例,福建3例,广东3例,四川3例,云南3例,天津1例,陕西1例),含4例由无症状感染者转为确诊病例(四川3例,广西1例);本土病例44例(内蒙古34例,均在呼伦贝尔市;浙江8例,其中宁波市5例、杭州市2例、绍兴市1例;黑龙江1例,在哈尔滨市;上海1例,在浦东新区),含1例由无症状感染者转为确诊病例(在内蒙古)。无新增死亡病例。新增疑似病例1例,为境外输入病例(在上海)。

当日新增治愈出院病例48例,解除医学观察的密切接触者825人,重症病例较前一日增加6例。

境外输入现有确诊病例450例(其中重症病例1例),现有疑似病例4例。累计确诊病例10346例,累计治愈出院病例9896例,无死亡病例。

截至12月7日24时,据31个省(自治区、直辖市)和新疆生产建设兵团报告,现有确诊病例1133例(其中重症病例22例),累计治愈出院病例93602例,累计死亡病例4636例,累计报告确诊病例99371例,现有疑似病例4例。累计追踪到密切接触者1344901人,尚在医学观察的密切接触者39383人。

31个省(自治区、直辖市)和新疆生产建设兵团报告新增无症状感染者23例,其中境外输入18例,本土5例(均在浙江,其中宁波市3例、杭州市2例);当日转为确诊病例5例(境外输入4例);当日解除医学观察24例(境外输入19例);尚在医学观察的无症状感染者465例(境外输入399例)。

累计收到港澳台地区通报确诊病例29231例。其中,香港特别行政区12471例(出院12153例,死亡213例),澳门特别行政区77例(出院77例),台湾地区16683例(出院13742例,死亡848例)。


数读12月7日全球疫情:全球日增确诊超68万例 累计逾2.6亿例 休斯敦暂无奥密克戎毒株确诊病例污水厂却检出病毒


根据Worldometer实时统计数据,截至北京时间12月8日6时30分,全球累计确诊新冠肺炎病例267268046例,累计死亡病例5285023例。全球单日新增确诊病例689719例,新增死亡病例9200例。

数据显示,美国、法国、德国、英国、俄罗斯是新增确诊病例数最多的五个国家。美国、俄罗斯、波兰、乌克兰、德国是新增死亡病例数最多的五个国家。


美国新增超16万例确诊病例 休斯敦暂无奥密克戎毒株确诊病例污水厂却检出病毒

根据Worldometer实时统计数据,截至北京时间12月8日6时30分左右,美国累计确诊新冠肺炎病例50223511例,累计死亡病例811449例。与前一日6时30分数据相比,美国新增确诊病例162548例,新增死亡病例2082例。

据美国广播公司(ABC)报道,美国休斯敦卫生局当地时间6日晚宣布,该市的废水中检测出变异新冠病毒奥密克戎毒株。该市暂时没有奥密克戎毒株确诊病例,这是奥密克戎毒株首次在休斯敦出现。


巴西新增超1万例确诊病例 累计确诊病例逾2215万例

据巴西卫生部官网最新数据,截至当地时间12月7日,巴西单日新增新冠肺炎确诊病例10250例,累计确诊病例22157726例;单日新增死亡病例274例,累计死亡616018例。


英国新增超4万例确诊病例 专家:英国奥密克戎感染者每天或达千例

根据Worldometer实时统计数据,截至北京时间12月8日6时30分左右,英国单日新增新冠肺炎确诊病例45691例,累计确诊病例10560341例;单日新增死亡病例180例,累计死亡病例145826例。

英国伦敦大学学院遗传学家弗朗索瓦·巴鲁(Francois Balloux)于当地时间12月6日表示,该国每天感染新冠奥密克戎变异株的病例最多大约一千例,大大超过官方统计数字。 据英国官方统计,截至当地时间12月6日,该国共有336例感染新冠病毒变异毒株奥密克戎的确诊病例。


法国新增近6万例确诊病例 达去年11月以来新高

当地时间7日,法国新冠单日新增确诊病例逼近6万例。由于疫情持续反弹,法国多个地方的医疗系统再度面临压力。

法国官方数据显示,法国7日单日新增确诊病例为59019例,为去年11月以来新高;累计确诊病例7987591例。法国累计死亡病例现为119899例,新增死亡病例168例。法国新冠住院患者人数现为12714人;重症患者人数现为2351人。


俄罗斯新增超3万例确诊病例 累计确诊病例逾986万例

俄罗斯新冠病毒疫情集中指挥部7日表示,过去24小时,俄罗斯新增新冠病毒感染病例31096例,累计感染病例达9864845例。新增死亡病例1182例,累计死亡人数为283644人。


新华社/海外网
回复

使用道具 举报

 楼主| 发表于 2021-12-9 08:05:39 | 显示全部楼层

疫苗对新变种是否仍有效 全球4大研究机构同时公布结果

新变种Omicron出现后,人们最关心两个问题。

一个是新的变异病毒是否会造成更严重的影响?

另一个是现有的疫苗是否对新变异病毒有效?

第一个问题最近越来越的早期数据显示,其可能不想想象中那么可怕。但是这还需要时间来继续验证。

相关阅读:终于!传来好消息!Omicron变种没有那么可怕...

而第二问题,也在昨天陆续公布了一些实验数据,这其中有积极的方面,也有不太好的消息,但总体来看和专家此前预测差不多,似乎也并没有大家想的那么糟。

美国目前确诊的州.jpg
(美国目前确诊的州)

昨晚在南非进行的第一项关于超级变种的实验室研究发现,接受两剂辉瑞公司疫苗的人在接触Omicron时产生的抗体要少四十倍。

负责该研究的弗格森教授说,这一发现表明Omicron将使目前的疫苗对轻度疾病的效果减半,但他说它们仍能抵御严重的疾病。

辉瑞也公布了最新研究.jpg
同时辉瑞也公布了最新研究显示,在接种第三针后,可以有助抵抗Omicron变种。


目前世界上公布的几个实验结果

1.南非

科学家对12名完整接种2剂辉瑞疫苗的受试者进行了研究,他们中的6人曾感染过新冠。实验的目的是通过血液分析,来确定他们体内抗体对Omicron的抵抗力(中和能力)。

实验发现,这些人的抗体中和Omicron毒株的能力骤降41倍。相较之下,抗体中和Beta变异毒株的能力只下降了3倍,这显示Omicron能大幅降低疫苗的保护力。

不过,在6名已接种疫苗及曾感染COVID-19病毒的人中,有5个人的血液仍然中和了Omicron病毒。

抗体水平--科学上称为几何平均滴度.jpg
(该图显示,当12个人接触到旧版病毒(D614G)时,他们的抗体水平--科学上称为几何平均滴度(GMT)FRNT50--平均跃升至1321。但是当科学家对他们的血液进行Omicron测试时,抗体水平下降到平均32,标志着41.4倍的下降。六名志愿者被辉瑞公司(橙色)双刺,而另一半志愿者被辉瑞公司双刺,并且之前对Covid检测呈阳性。以前感染过Covid的人的保护能力最强 )

研究人员还发现,Omicron仍然利用细胞上的ACE2受体来感染人们。

领导这项研究的AHRI病毒学家Alex Sigal教授说,这意味着该变种依旧可以利用现有疫苗来预防。科学家认为这获得更多抗体,就有更多的机会获得抵御Omicron的保护。

2.瑞典

瑞典研究人员的一项单独研究发现,虽然身体中和Omicron的能力有所下降,但并不是在每个人身上都能看到,而且下降幅度比担心的要小。

斯德哥尔摩卡罗林斯卡研究所的科学家们发现,对Omicron的中和能力平均下降了7倍。

但在患者中,它的下降幅度在1倍到23倍之间。

研究人员说,几乎所有被评估的血液样本都有某种形式的针对Omicron的中和抗体反应。

他们的研究结果是基于斯德哥尔摩17人最近的血液样本,与之前感染了原始新冠菌株的17名医院工作人员进行比较。

基于最近斯德哥尔摩17人的血液样本.jpg
(瑞典斯德哥尔摩卡罗林斯卡学院的研究人员进行基于最近斯德哥尔摩17人的血液样本(如中间的图表所示),与之前感染了原始原始菌株的17名医院工作人员(如右图所示)进行比较。中图和右图显示了与Omicron相比,暴露于原始变种(WT)时参与者的抗体水平。左图显示了暴露于原始菌株(紫色)、Delta(蓝色)和Omicron(绿色)时两组的平均抗体水平。)

计算生物学、病毒学和免疫学助理教授、该研究背后的研究人员之一本杰明-穆瑞尔(Benjamin Murrell)说,这 "当然比Delta传染性更糟糕",但并不 "像我们预期的那样极端"。

他说,AHRI的研究报告了一个'更大幅度的平均减少',但指出'常见的是,并非所有样本都完全失去中和作用,这是积极的'。

3. 德国

德国的研究人员分享的第三组结果发现,来自英国使用的两剂疫苗的中和抗体对该菌株没有效果。

德国感染研究中心的病毒学家Sandra Ciesek博士在推特上说,实验室的研究结果(尚未发表)显示,在使用两剂辉瑞或Moderna疫苗,或使用第一剂阿斯利康和第二剂辉瑞疫苗的六个月后,没有中和抗体可以保护Omicron。

甚至在使用辉瑞公司的疫苗接种后三个月,人们对Omicron的中和抗体只有25%的保护,而在同一时间对Delta的保护率为95%。

与Delta菌株相比,这意味着对Omicron的保护减少了37倍.jpg
Ciesek博士说,与Delta菌株相比,这意味着对Omicron的保护减少了37倍。

她说,这些发现证实了开发针对Omicron的新疫苗是 "有意义的"。

但是Ciesek博士指出,这些结果对于人们是否仍然受到严重疾病的保护'不能说明什么',因为免疫系统在传染和保护抵御重症上是两个不同的原理。

4. 辉瑞公司

辉瑞公司的结果是基于一项实验室研究,该研究使用了20人的血液,这些人要么在三周前接受了双针注射,要么在一个月前接受了三针注射其疫苗。

结果显示,第三针可能提供 "更有力的保护",引发了抗体水平的25倍跃升。

辉瑞公司与德国合作伙伴BioNTech公司一起制造了这种疫苗,它说根据针对其他变种的数据,这种水平相当于 "高疗效"。

该公司说,在两剂疫苗之后,加强型疫苗所提供的抗体水平与原始新冠病毒所观察到的水平 "相当"。

三针后针对Omicron的中和抗体水平为154,而两针后针对原始病毒株的中和抗体水平为155。

但这一数字比针对Delta的三个剂量的水平低60%。

“确保尽可能多的人充分接种前两针系列疫苗和加强针仍然是防止COVID-19传播的最佳行动方案。”辉瑞公司董事长兼首席执行官阿尔伯特‧布尔拉(Albert Bourla)在一份声明中称,两剂疫苗仍有望保护患者不出现严重疾病。

综上,是目前我们已知的实验数据。

其实小编想说,疫情进展到现在,咱也不知道是上半场还是下半场了,但是对于疫苗的争执已经形成了两方针对的势力。一方认为不打疫苗就是拖累了整个世界,而另一方认为打了疫苗就是“总有刁民想害朕”,双方为此争执不休。

我们希望大家多看看不同的数据,打不打疫苗,打不打第三加强针,或者相信自己身体的抵抗力,都请根据实际情况选择,我们共同的希望都是愿未来更好,也希望科学家和卫生专家能在不久给出我们更多参考数据。

华人生活网
回复

使用道具 举报

 楼主| 发表于 2021-12-9 08:12:58 | 显示全部楼层

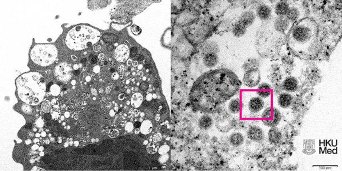
Omicron病毒真实面貌曝光 显微镜下刺突蛋白可见

香港大学公布的Omicron变种病毒显微镜下成像

香港大学公布的Omicron变种病毒显微镜下成像

▲香港大学公布的Omicron变种病毒显微镜下成像。(图/澎湃新闻)

香港大学今(8)日发布新冠变种病毒Omicron在显微镜下的真实面貌,分别为低倍电子显微镜所呈现的感染新型冠状病毒Omicron变种毒株后的猴肾细胞(Vero E6)及高倍电子显微镜下受感染的Vero E6细胞。此外,港大在1日也率先成功从临床标本中分离出Omicron病毒,成为亚洲首个揭开该病毒神秘面纱的团队。

《澎湃新闻》报导,根据港大公布的照片显示,图左照片为低倍电子显微镜下感染新型冠状病毒奥密克戎(Omicron)变异株后的猴肾细胞(Vero E6)。照片显示细胞受损,肿胀囊泡,囊泡内含有黑色小病毒颗粒。显示细胞受损,肿胀囊泡,囊泡内含有黑色小病毒颗粒。

图右照片则为高倍电子显微镜下受感染的Vero E6细胞。照片显示病毒颗粒表面呈现皇冠形的刺突蛋白(红框处)。

此前,香港大学微生物学系团队成功从临床标本中分离出Omicron病毒,为亚洲首个揭开该毒株神秘面纱的团队,有助于开发和生产灭活全病毒疫苗,阻截变种病毒疫情蔓延。

香港理工大学医疗科技及资讯学系副教授萧杰恒指出,Omicron的基因突变异常多,进化速度快,推断是动物感染原始新冠病毒后,病毒在动物体内「洗牌」,变成Omicron再传至人体。

辉瑞首席执行官Albert Bourla也在美东时间7日表示,Omicron变种病毒株似乎比之前的新冠毒株更加温和,但它的传播速度也更快,可能在未来导致更多的突变。

澎湃新闻

回复

使用道具 举报

您需要登录后才可以回帖 登录 | 点击注册

本版积分规则

QQ|Archiver|SiXiang.com 思乡思想

GMT+8, 2025-11-5 05:05

Powered by Discuz! X3.5

© 2001-2025 Discuz! Team.

快速回复 返回顶部 返回列表